若是有一个人同你说,宇宙其实是人的大脑这样的言论你会相信吗?是不是非常震撼啊!其实,这是有可能的。美国的《自然》杂志科学报告专栏一篇研究论文,就充分证明宇宙的成长和结构与大脑细胞的生成过程和结构简直是一毛一样!今天小编就来为大家详细揭秘这宇宙的奥秘!
宇宙其实可能是人的大脑

关于宇宙的奥秘简直是说上三天三夜都说不完,我们普罗大众所了解到的宇宙其实是很皮毛的一部分,就算是那些专门研究宇宙的天文学家或是什么科学家,其实也并没有找到什么宇宙的奥妙!可是就在2012年之际,美国《自然》杂志却报道了另一种别样新奇的说法——宇宙其实是人的大脑...

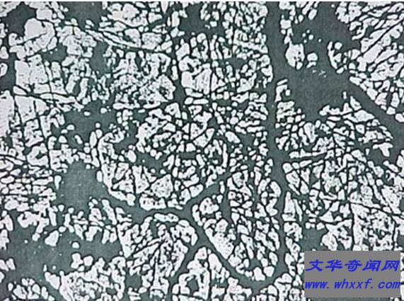
如果有人告诉你,大脑其实就是已个小宇宙,神秘而又广袤无垠的宇宙实质上只一个超级大脑,你会相信这个说法吗?美国《自然》杂志科学报告专栏就有一篇研究论文,证明了宇宙的成长过程和结构实际上和大脑细胞的生成过程和结构简直是一毛一样。不信的话看看这张,细胞照片,是不是和右边的宇宙够成的物质蜜汁相似?!

无独有偶,没够的一位杂志编辑和作家朱迪思·霍珀和她的先生迪克·特瑞西合写的一本《三磅宇宙》——Three Pound Universe一书中,也是同样把人脑比作三磅重的宇宙。在书中33页,有两张图片,上面这一张是这个大脑皮层,下面这张红色图片则其实是一张宇宙暗物质照片,是不是真的惊人的相似呢!

这些都是正面侧面举例说明了,大脑就像一个微缩宇宙,而广袤无垠的宇宙则是一巨型的大脑!这些研究发现至今仍被不断报导和关注,似乎预示着科学领域的巨大突破。如果这些奇妙的研究最终被完全证实,待到那一天我们将彻底改变人类对宇宙,还有人体,和生命以及对人和宇宙之关系的重新认识。






















